Login
Register
Gallery
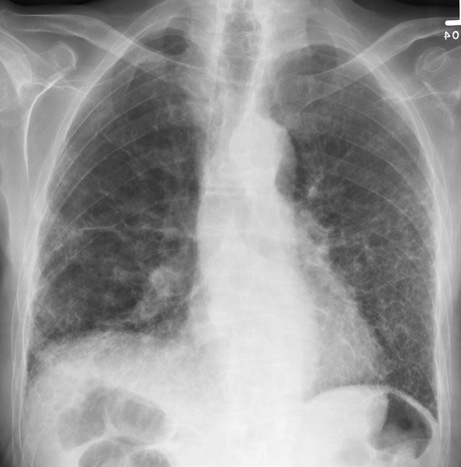
Pulmonary Fibrosis
IPF
Honeycomb
Honeycomb
Date: 01/06/2012
Size:
791x800
916x927
Full size:
916x927
next
last
first
previous
next
last
first
previous