Login
Register
Gallery
Pneumonia
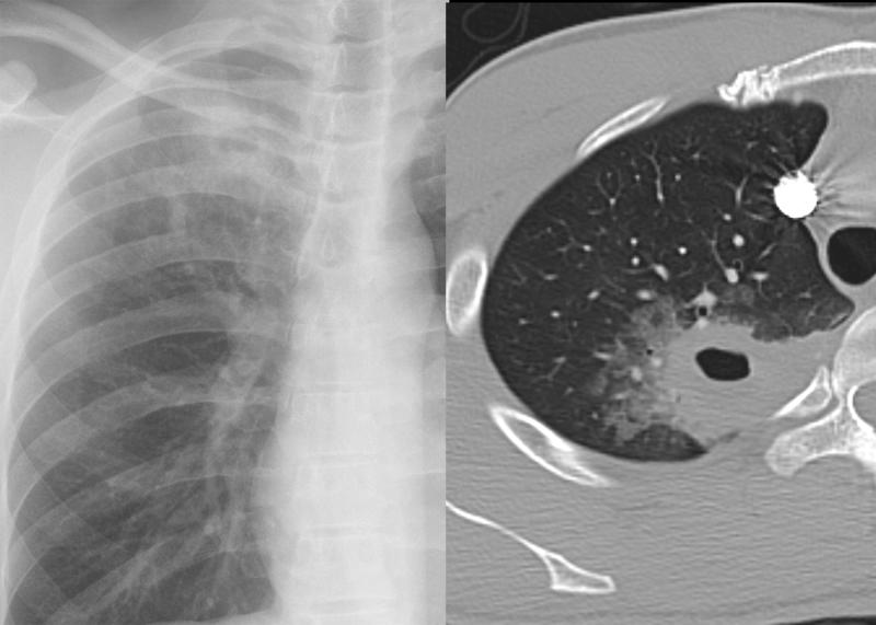
Cavitating pneumonia
Cavitating pneumonia
Date: 03/14/2009
Size:
800x571
1008x720
Full size:
1008x720
next
last
first
previous
next
last
first
previous