Login Register
Gallery Pneumonia Case 13 RUL pneum PA

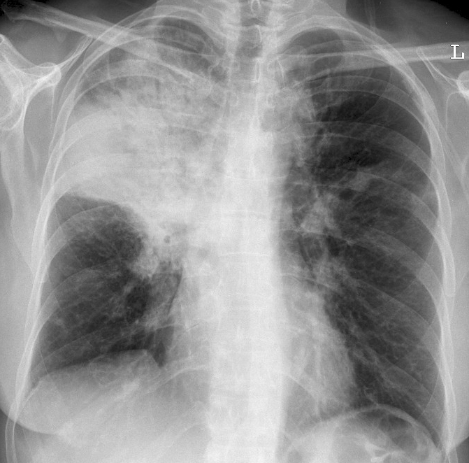
Case 13 RUL pneum PA

Date: 04/17/2005
Full size: 671x662
nextlast
first previous
Case 13 RUL pneum PA
nextlast
first previous
Powered by Gallery v2.3