Login Register
Gallery Pneumonia Case 6 RLL pneum PA

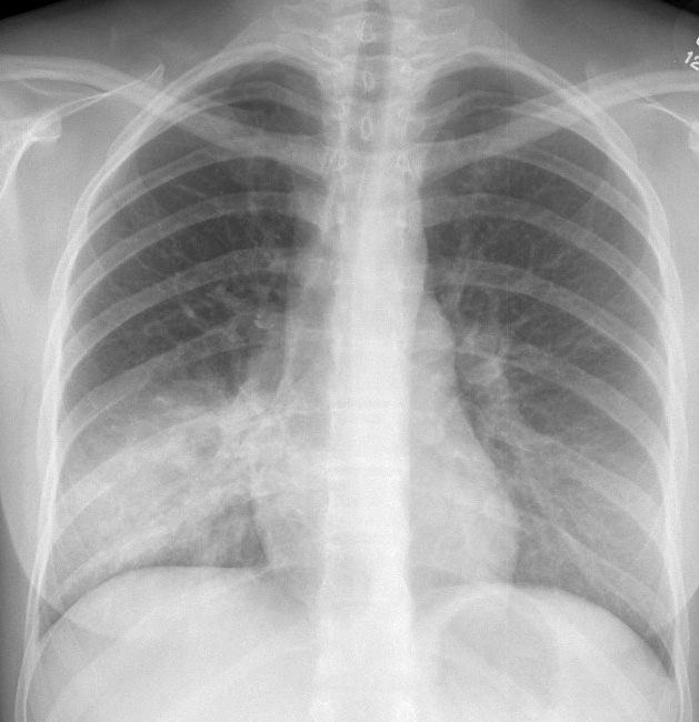
Case 6 RLL pneum PA

Date: 04/17/2005
Full size: 629x650
nextlast
first previous
Case 6 RLL pneum PA
nextlast
first previous
Powered by Gallery v2.3