Login Register
Gallery Pleural pleural lipoma

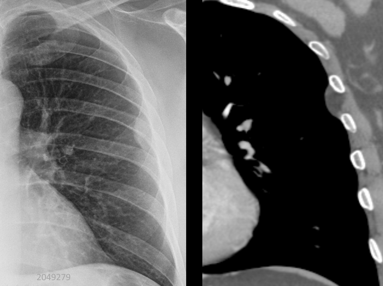
pleural lipoma

Date: 04/01/2014
Size:
Full size: 1255x938
nextlast
first previous
pleural lipoma
nextlast
first previous
Powered by Gallery v2.3