Login Register
Gallery Pleural huge effusion PA

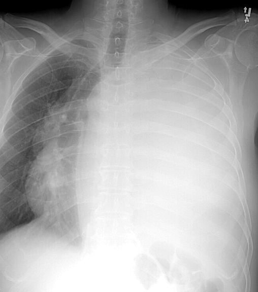
huge effusion PA

Date: 09/24/2006
Full size: 508x576
nextlast
first previous
huge effusion PA
nextlast
first previous
Powered by Gallery v2.3