Login Register
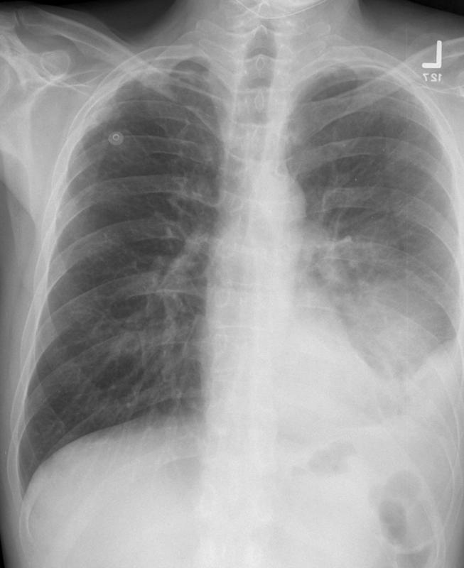
Gallery Pleural empyema 1a

empyema 1a

Date: 01/03/2005
Size:
Full size: 707x866
nextlast
first previous
empyema 1a
nextlast
first previous
Powered by Gallery v2.3