Login Register
Gallery Pleural Subpulmonic effusion

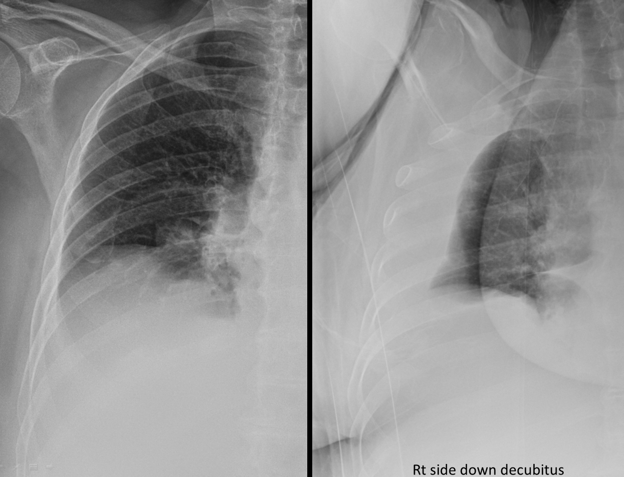
Subpulmonic effusion

Date: 07/29/2013
Size:
Full size: 1251x956
nextlast
first previous
Subpulmonic effusion
nextlast
first previous
Powered by Gallery v2.3