Login
Register
Gallery
Pleural
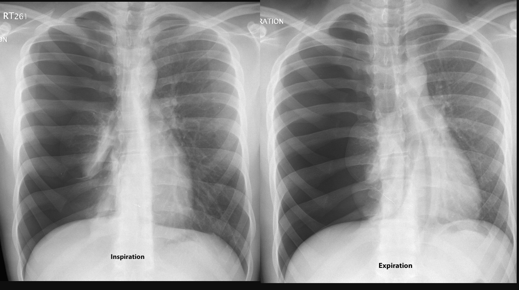
Pneumo insp/exp (similar - mild tension)
Pneumo insp/exp
(similar - mild tension)
Date: 01/06/2012
Size:
800x448
1800x1008
Full size:
1800x1008
next
last
first
previous
next
last
first
previous