Login Register
Gallery Pleural

Pleural

Date: 09/24/2006
Size: 59 items
first previous
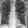
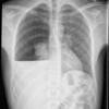
renal mets

renal mets

Date: 11/19/2005
Views: 3077
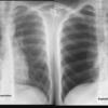
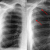
tube and track

tube and track

Date: 01/13/2008
Views: 3497
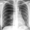
subpleural fat

subpleural fat

Date: 01/13/2008
Views: 3796
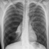
subpleural fat

subpleural fat

Date: 01/13/2008
Views: 3928
chest tube in fissure

chest tube in fissure

Date: 03/27/2009
Views: 3719
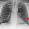
Complete pneumo
(+ mild tension)

Complete pneumo
(+ mild tension)

Date: 03/28/2009
Views: 3594
Pneumo insp/exp
(similar - mild tension)

Pneumo insp/exp
(similar - mild tension)

Date: 01/06/2012
Views: 3545
Pneumo - mild tension

Pneumo - mild tension

Date: 07/27/2013
Views: 2753
Complete pneumo-slight tension

Complete pneumo-slight tension

Date: 03/02/2014
Views: 3344
spont tension pneumothorax-

spont tension pneumothorax-

Date: 11/18/2014
Views: 2833
large spont hydro (or hemo)pneumo

large spont hydro (or hemo)pneumo

Date: 03/03/2013
Views: 3594
Asbestos- calcified plaques

Asbestos- calcified plaques

Date: 10/23/2010
Views: 4316
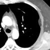
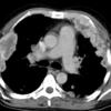
Asbestos calcified plaques CT

Asbestos calcified plaques CT

Date: 10/23/2010
Views: 3807
pleural lipoma

pleural lipoma

Date: 01/06/2012
Views: 3837
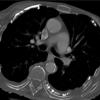
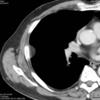
pleural lipoma CT

pleural lipoma CT

Date: 01/06/2012
Views: 4254
subpleural chest wall fat

subpleural chest wall fat

Date: 08/15/2012
Views: 3609
fissures

fissures

Date: 03/03/2013
Views: 2900
skin fold

skin fold

Date: 04/01/2014
Views: 3194
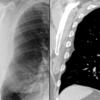
pleural lipoma

pleural lipoma

Date: 04/01/2014
Views: 3264
pleural lipoma axial CT

pleural lipoma axial CT

Date: 04/01/2014
Views: 2937
subpleural fat

subpleural fat

Date: 01/12/2015
Views: 2987
split pleura 2

split pleura 2

"split pleura"

Date: 01/06/2018
Views: 2812
subpleural - fat

subpleural - fat

subpleural fat

Date: 01/06/2018
Views: 4022
 
first previous
Page: 1 2
Powered by Gallery v2.3