Login Register
Gallery Normal and Variants Aortic nipple PA and CT

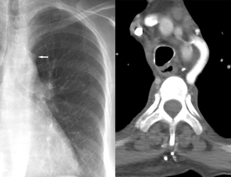
Aortic nipple PA and CT

Aortic nipple

Date: 01/06/2018
Size:
Full size: 968x742
nextlast
first previous
Aortic nipple PA and CT
nextlast
first previous
Powered by Gallery v2.3