Login
Register
Gallery
Mediastinum
Thyroid
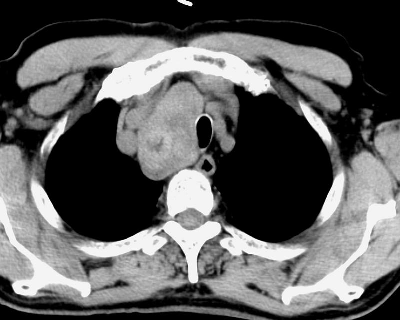
Thyroid Mass Case 11 CT
Thyroid Mass
Case 11 CT
Date: 01/14/2008
Size:
800x640
1022x817
Full size:
1022x817
next
last
first
previous
next
last
first
previous