Login Register
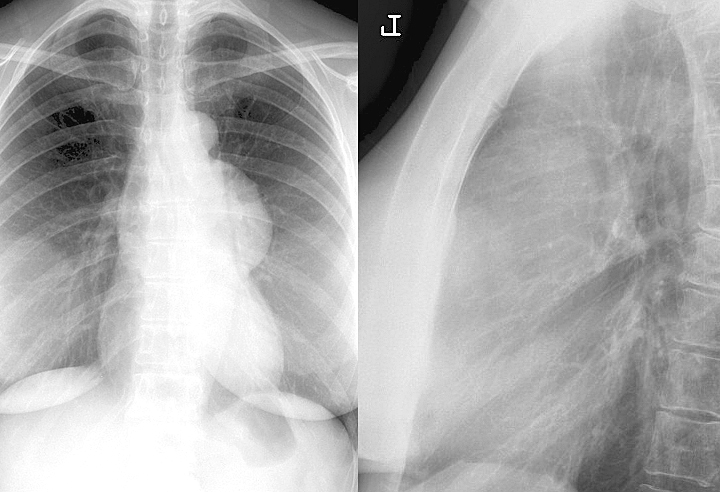
Gallery Mediastinum Thymus 006c

006c

Date: 03/17/2004
Full size: 720x492
nextlast
first previous
006c
nextlast
first previous
Powered by Gallery v2.3