Login
Register
Gallery
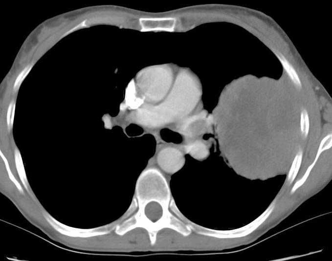
Lung Cancer
Nodules & Masses
3b
3b
Date: 01/25/2006
Full size: 679x534
next
last
first
previous
next
last
first
previous