Login Register
Gallery Lung Cancer Miscell

Miscell

Date: 02/25/2013
Size: 12 items
CA LLL collapse

CA LLL collapse

Date: 02/25/2013
Views: 3088
Ca tension

Ca tension

Date: 02/25/2013
Views: 2883
smoking effects

smoking effects

Date: 02/25/2013
Views: 2963
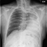
Pneumonectomy

Pneumonectomy

Date: 02/25/2013
Views: 3098
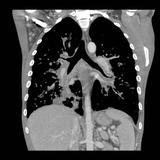
pneumonectomy Cor CT

pneumonectomy Cor CT

Date: 02/25/2013
Views: 2439
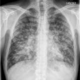
KS PA

KS PA

Date: 03/03/2013
Views: 2856
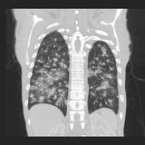
KS cor 1a

KS cor 1a

Date: 03/03/2013
Views: 2851
KS cor 1b

KS cor 1b

Date: 03/03/2013
Views: 2011
KS cor 2

KS cor 2

Date: 03/03/2013
Views: 2118
3 and 9 mo. post-pneumonectomy

3 and 9 mo. post-pneumonectomy

Date: 07/27/2013
Views: 1944
smoking effects

smoking effects

Date: 01/12/2015
Views: 2405
CT guidsed biopsy

CT guidsed biopsy

CT guided biopsy

Date: 04/23/2016
Views: 2606
Page: 1
Powered by Gallery v2.3