Login Register
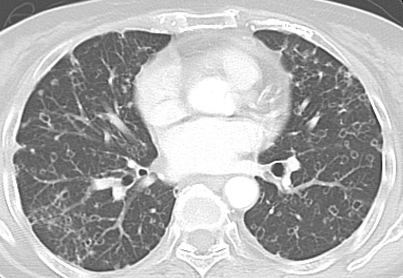
Gallery Lung Cancer Mets cystic mets (pancreas adenoca)

cystic mets (pancreas adenoca)

Date: 08/13/2012
Size:
Full size: 1149x793
nextlast
first previous
cystic mets (pancreas adenoca)
nextlast
first previous
Powered by Gallery v2.3