Login Register
Gallery Lung Cancer Mets

Mets

Date: 02/18/2006
Size: 52 items
nextlast
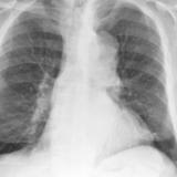
adrenal PA

adrenal PA

Date: 02/18/2006
Views: 2902
adrenal Lat

adrenal Lat

Date: 02/18/2006
Views: 2533
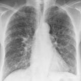
Testicular mets

Testicular mets

Date: 01/26/2009
Views: 3595
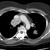
Testicular mets CT

Testicular mets CT

Date: 01/26/2009
Views: 3787
breast 1

breast 1

Date: 02/18/2006
Views: 2372
breast 1 CT

breast 1 CT

Date: 02/18/2006
Views: 2442
cavit mets

cavit mets

Date: 02/18/2006
Views: 2396
cervix PA

cervix PA

Date: 01/15/2006
Views: 2427
cervix Lat

cervix Lat

Date: 01/15/2006
Views: 2737
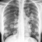
Lymphangitic 1

Lymphangitic 1

Date: 02/26/2006
Views: 2513
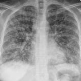
Lymphangtic 2

Lymphangtic 2

Date: 01/15/2006
Views: 2658
2ry pulm lobule

2ry pulm lobule

Date: 01/15/2006
Views: 2442
lymphangitic Case 3a

lymphangitic Case 3a

Date: 07/19/2006
Views: 3140
lymphangitic Case 3b

lymphangitic Case 3b

Date: 07/19/2006
Views: 3190
Case 3b cu

Case 3b cu

Date: 07/20/2006
Views: 2622
case 3b cu

case 3b cu

Date: 07/20/2006
Views: 2686
Lymphangitic 4 PA

Lymphangitic 4 PA

Date: 04/04/2010
Views: 3180
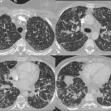
Lymphangitic 4 CT

Lymphangitic 4 CT

Date: 04/04/2010
Views: 3514
Lymphangitic CT 4 closeup

Lymphangitic CT 4 closeup

Date: 04/04/2010
Views: 2314
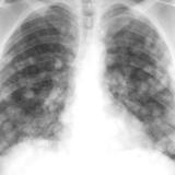
Lymphangitic 5 Xray

Lymphangitic 5 Xray

Date: 05/15/2010
Views: 3100
Lymphangitic 5 CT

Lymphangitic 5 CT

Date: 05/15/2010
Views: 3183
melanoma 1a

melanoma 1a

Date: 01/15/2006
Views: 2434
melanoma 1b

melanoma 1b

Date: 01/15/2006
Views: 2404
melanoma 2a

melanoma 2a

Date: 01/15/2006
Views: 3284
melanoma 2b plus2mo

melanoma 2b plus2mo

Date: 01/15/2006
Views: 4314
melanoma 3a

melanoma 3a

Date: 01/15/2006
Views: 3267
melanoma 3b

melanoma 3b

Date: 01/15/2006
Views: 2406
melanoma 3c

melanoma 3c

Date: 02/18/2006
Views: 3103
melanoma 4

melanoma 4

Date: 02/18/2006
Views: 2260
pancreas

pancreas

Date: 01/15/2006
Views: 2572
Renal cell

Renal cell

Date: 01/15/2006
Views: 2176
Testicular mets

Testicular mets

Date: 02/18/2006
Views: 2361
RCC a

RCC a

Date: 03/12/2006
Views: 3028
RCC b

RCC b

Date: 03/12/2006
Views: 2873
Prostate PA before

Prostate PA before

Date: 03/11/2006
Views: 2990
Prostate Lat before

Prostate Lat before

Date: 03/11/2006
Views: 3017
nextlast
Page: 1 2
Powered by Gallery v2.3