Login Register
Gallery Lung Cancer BAC

BAC

Date: 09/10/2006
Size: 9 items
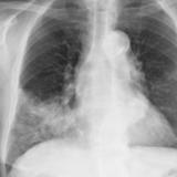
BAC Case 1 PA

BAC Case 1 PA

Date: 09/06/2006
Views: 2517
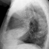
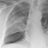
BAC Case 1 Lat

BAC Case 1 Lat

Date: 09/06/2006
Views: 3041
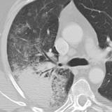
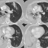
BAC Case 1 CT

BAC Case 1 CT

Date: 09/06/2006
Views: 3069
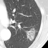
BAC Case 1 CTcu

BAC Case 1 CTcu

Date: 09/06/2006
Views: 2424
BACE Case 2 PA

BACE Case 2 PA

Date: 10/29/2006
Views: 3106
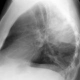
BAC Case 2 Lat

BAC Case 2 Lat

Date: 10/29/2006
Views: 3062
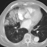
BAC Case 2 CT

BAC Case 2 CT

Date: 10/29/2006
Views: 3474
BAC Case 3

BAC Case 3

Date: 04/25/2009
Views: 3468
BAC CT1

BAC CT1

Date: 10/22/2010
Views: 2285
     
Page: 1
Powered by Gallery v2.3