Login Register
Gallery Lobar Collapse RML Collapse

RML Collapse

Date: 02/28/2004
Size: 6 items
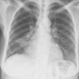
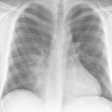
Case 1 PA

Case 1 PA

Date: 02/28/2004
Views: 3396
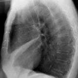
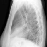
Case 1 Lateral

Case 1 Lateral

Date: 02/28/2004
Views: 3126
Case 2 PA

Case 2 PA

Date: 02/28/2004
Views: 3078
Case 2 Lateral

Case 2 Lateral

Date: 02/28/2004
Views: 3318
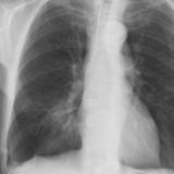
Case 3 PA

Case 3 PA

Date: 07/23/2006
Views: 4092
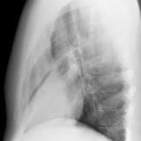
Case 3 Lat

Case 3 Lat

Date: 07/23/2006
Views: 5014
   
Page: 1
Powered by Gallery v2.3