Login Register
Gallery Lobar Collapse RLL Collapse

RLL Collapse

Date: 02/28/2004
Size: 9 items
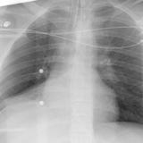
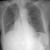
RLL Collapse 1 PA

RLL Collapse 1 PA

Date: 02/28/2004
Views: 3360
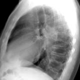
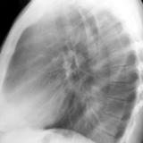
RLL Collapse  1 Lateral

RLL Collapse 1 Lateral

Date: 02/28/2004
Views: 3183
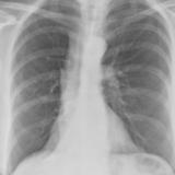
RLL Collapse 2 PA only

RLL Collapse 2 PA only

Date: 02/28/2004
Views: 3071
RLL Collapse 3 PA only

RLL Collapse 3 PA only

Date: 02/28/2004
Views: 3113
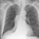
RLL collapse 4 PA

RLL collapse 4 PA

Date: 03/02/2006
Views: 3185
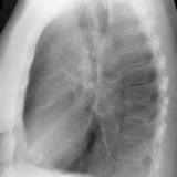
RLL collapse 4 Lat

RLL collapse 4 Lat

Date: 03/02/2006
Views: 3166
Mass RLL collapse 5 PA

Mass RLL collapse 5 PA

Date: 03/02/2006
Views: 3932
Mass RLL collapse 5 Lat

Mass RLL collapse 5 Lat

Date: 03/02/2006
Views: 3680
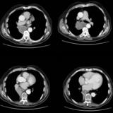
Mass  RLL collapse 5 CT

Mass RLL collapse 5 CT

Date: 03/02/2006
Views: 3886
     
Page: 1
Powered by Gallery v2.3