Login
Register
Gallery
Lobar Collapse
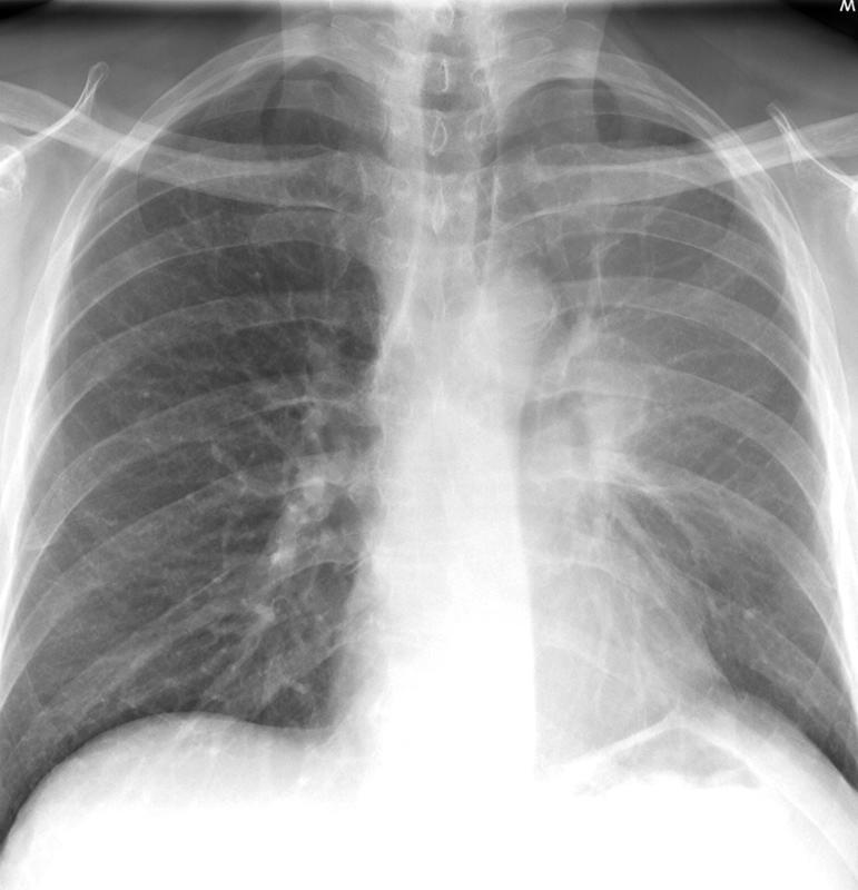
LUL Collapse
LUL collapse Case10
LUL collapse Case10
Date: 01/13/2008
Size:
771x800
833x864
Full size:
833x864
next
last
first
previous
next
last
first
previous