Login Register
Gallery Lobar Collapse LLL Collapse LLL collapse Case 11 Coronal CT

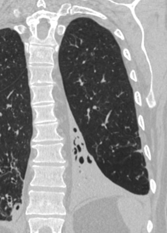
LLL collapse Case 11 Coronal CT

Date: 10/19/2010
Size:
Full size: 806x1128
nextlast
first previous
LLL collapse Case 11 Coronal CT
nextlast
first previous
Powered by Gallery v2.3