Login Register
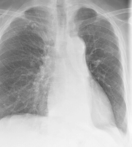
Gallery Lobar Collapse LLL Collapse LLL Collapse Case 7 PA

LLL Collapse Case 7 PA

Date: 02/28/2004
Full size: 538x598
nextlast
first previous
LLL Collapse Case 7 PA
nextlast
first previous
Powered by Gallery v2.3