Login Register
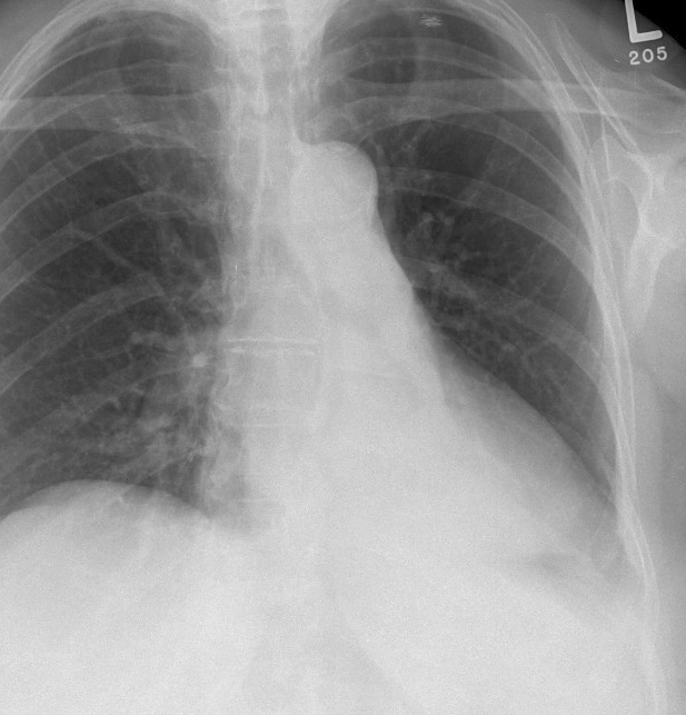
Gallery Lobar Collapse LLL Collapse LLL Collapse Case 6 PA

LLL Collapse Case 6 PA

Date: 02/28/2004
Full size: 617x643
nextlast
first previous
LLL Collapse Case 6 PA
nextlast
first previous
Powered by Gallery v2.3