Login Register
Gallery Lobar Collapse LLL Collapse LLL Collapse Case 2 PA

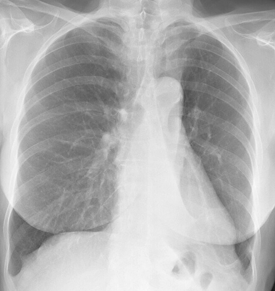
LLL Collapse Case 2 PA

Date: 02/28/2004
Full size: 545x576
nextlast
first previous
LLL Collapse Case 2 PA
nextlast
first previous
Powered by Gallery v2.3