Login Register
Gallery Cardiac Pericardium Case 7b Peric effusion

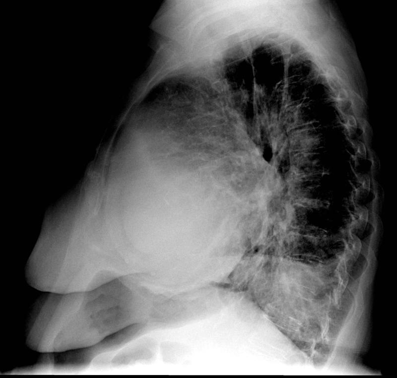
Case 7b
Peric effusion

Date: 02/25/2013
Size:
Full size: 2944x2804
nextlast
first previous
Case 7b
Peric effusion
nextlast
first previous
Powered by Gallery v2.3