Login Register
Gallery Cardiac Other Tricuspid insufficiency

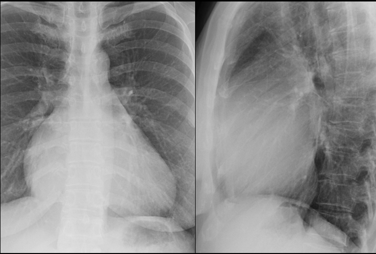
Tricuspid insufficiency

Date: 07/27/2013
Full size: 767x518
nextlast
first previous
Tricuspid insufficiency
nextlast
first previous
Powered by Gallery v2.3