Login
Register
Gallery
Cardiac
Other
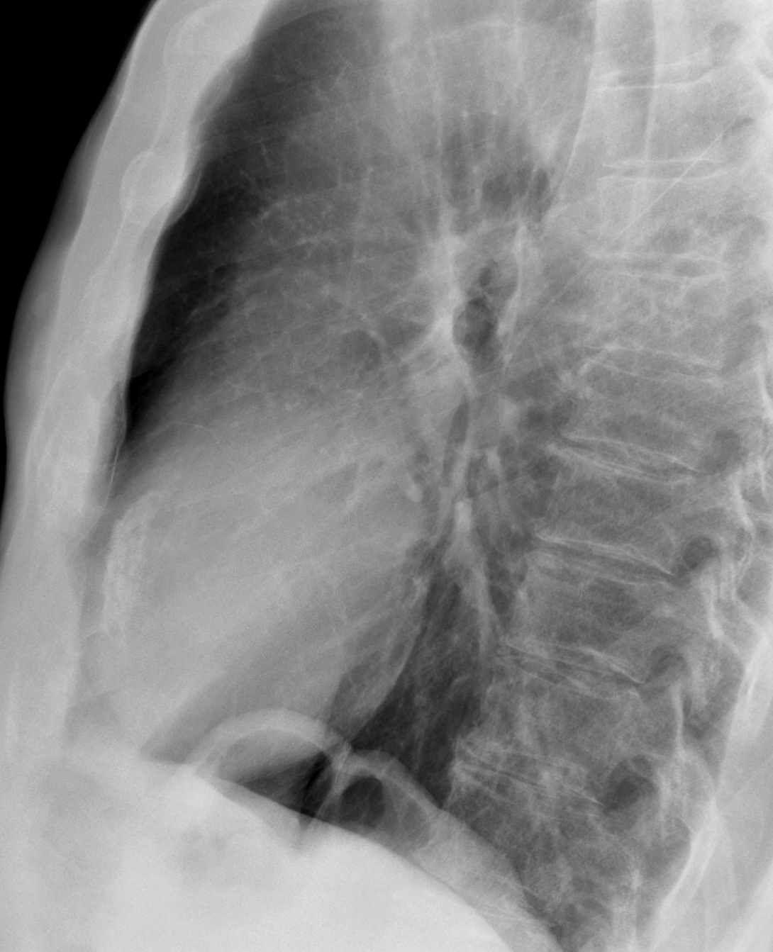
LV ant wall calcif (can't see on PA)
LV ant wall calcif
(can't see on PA)
Date: 01/26/2009
Size:
649x800
1090x1343
Full size:
1090x1343
next
last
first
previous
next
last
first
previous