Login
Register
Gallery
Cardiac
Other
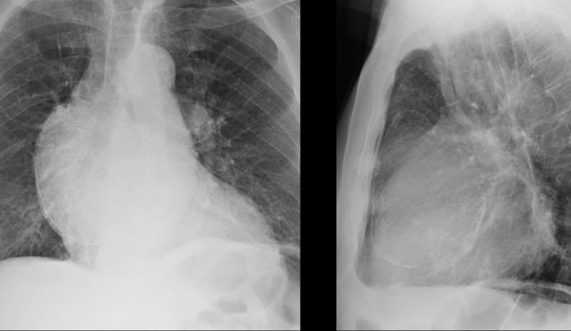
Aortic aneurysm
Aortic aneurysm
Date: 03/02/2014
Size:
800x464
1217x706
Full size:
1217x706
next
last
first
previous
next
last
first
previous