Login Register
Gallery Cardiac Mitral Valve Disease Mitral Valve Disease Case 2 PA and Lat

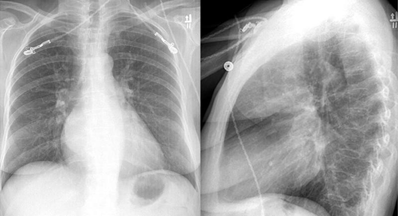
Mitral Valve Disease
Case 2 PA and Lat

Date: 03/17/2004
Size:
Full size: 1127x612
nextlast
first previous
Mitral Valve Disease
Case 2 PA and Lat
nextlast
first previous
Powered by Gallery v2.3