Login Register
Gallery Cardiac Heart failure CHF progression

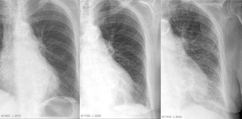
CHF progression

Date: 11/05/2005
Size:
Full size: 1901x938
nextlast
first previous
CHF progression
nextlast
first previous
Powered by Gallery v2.3