Login
Register
Gallery
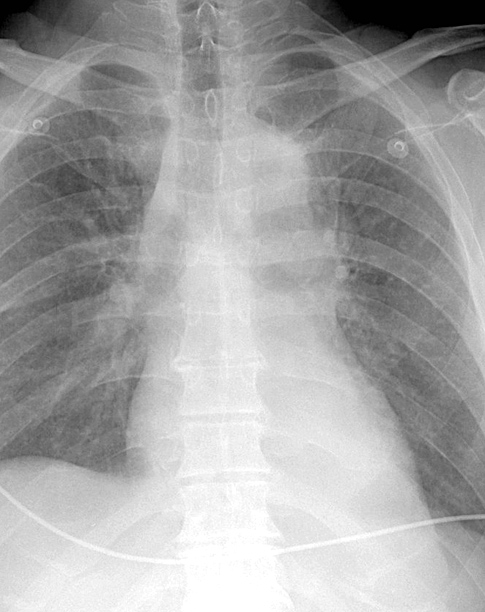
Blunt Chest Trauma
Tr Aortic Injury
Case 5a
Case 5a
Date: 04/17/2005
Full size: 485x612
next
last
first
previous
next
last
first
previous