Login Register
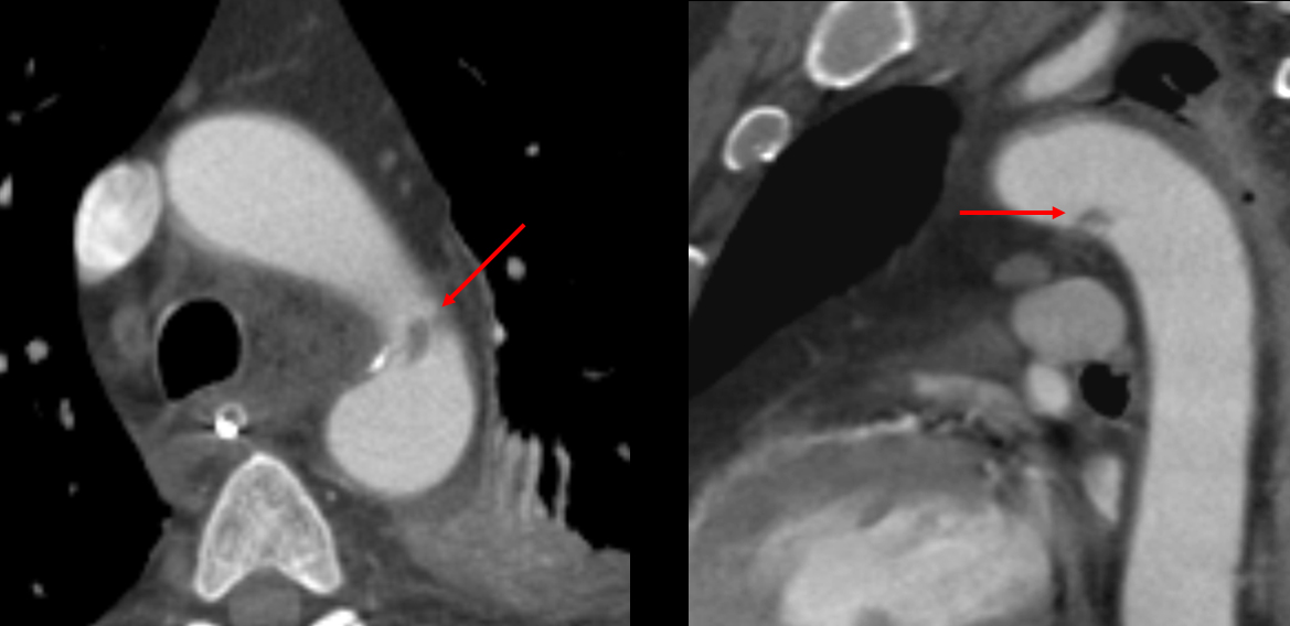
Gallery Blunt Chest Trauma Tr Aortic Injury MAI

MAI

Date: 08/14/2012
Size:
Full size: 1169x568
nextlast
first previous
MAI
nextlast
first previous
Powered by Gallery v2.3