Login
Register
Gallery
Blunt Chest Trauma
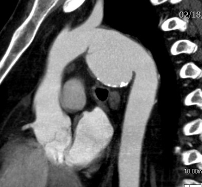
Tr Aortic Injury
Chronic TAI CT sagittal
Chronic TAI CT sagittal
Date: 03/14/2009
Full size: 403x372
next
last
first
previous
next
last
first
previous