Login
Register
Gallery
Blunt Chest Trauma
BCT-Other
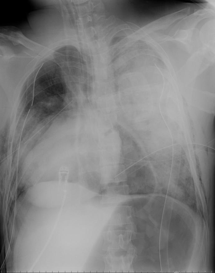
Cardiac torsion post BCT
Cardiac torsion post BCT
Date: 08/26/2013
Size:
630x800
692x879
Full size:
692x879
next
last
first
previous
next
last
first
previous