Login Register
Gallery Blunt Chest Trauma BCT-Other

BCT-Other

Date: 07/29/2006
Size: 6 items
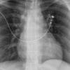
Nl NG tube course

Nl NG tube course

Date: 01/26/2009
Views: 3678
Splenic injury

Splenic injury

Date: 10/23/2010
Views: 3236
4in1

4in1

Date: 02/25/2013
Views: 3232
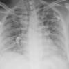
pre-torsion

pre-torsion

Date: 08/26/2013
Views: 3155
Cardiac torsion post BCT

Cardiac torsion post BCT

Date: 08/26/2013
Views: 3118
TRALI (transfusion reaction)

TRALI (transfusion reaction)

TRALI (transfusion-related acute lung injury)

Date: 04/23/2016
Views: 3488
   
Page: 1
Powered by Gallery v2.3